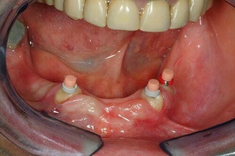
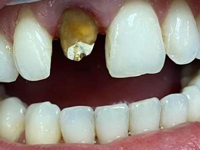
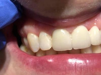
Przykłady leczenia w Gabinecie Dental Zoom
Prezentowane przez nas przykłady leczenia najlepiej obrazują zakres i charakter działań podejmowanych w Gabinecie Dental Zoom. Pokazują, z jak trudnymi przypadkami pracuje nasz zespół na co dzień, oraz jak skutecznie udoskonalamy uzębienie pacjentów. Dzięki temu poprawiamy nie tylko ich zdrowie jamy ustnej, ale również komfort życia, pewność siebie i satysfakcję z uśmiechu.
